循環器科専門外来
なんだか元気がないかも?と思ったらご相談ください。
わんちゃん・ねこちゃんも、心臓や血管の病気にかかることがあります。咳が続く、すぐに疲れる、呼吸が荒い、お腹がふくらんできた、などの症状は、心臓の異常が関係しているかもしれません。当院では、心臓病に関する専門的な知識をお持ちの先生をお招きして詳しい検査と治療を行います。定期的な心臓チェックをご希望の方や、持病がある子のセカンドオピニオンも受け付けています。気になる症状がある場合は、早めのご相談をおすすめします。
担当獣医師先生紹介
津久間 隆広 獣医師
出身大学:日本大学
経歴
| 2015年~現在 | ぬのかわ犬猫病院勤務 |
| 2017年~2018年 | 日本大学大学院研究生 |
| 2023年 | 動物循環器認定医取得 |
コメント
普段は一般診療に従事しつつ、心臓外科にも携わっています。
当院では循環器科を担当させていただきます。心臓病で苦しむワンちゃんやネコちゃんのお手伝いができればと思います。どうぞよろしくお願いいたします。
診療の流れ
- 問診
- 普段の様子や症状など、詳しく教えてください。その他お困りのこと、現在の
治療に関する疑問など、ご気軽にご相談してください。
- 身体検査
- 聴診にて心拍数や心臓の雑音、不整脈がないかなどを確認します。
- 心臓超音波検査
- 身体検査から得られた異常の原因を確認します。超音波検査は心臓の動きをリアルタイムで確認できるので、心臓の機能を評価するために実施します。ワンちゃんでは弁膜症、ネコちゃんでは心筋症が主に見つかることが多いです。
- その他
- 呼吸状態が悪ければ、レントゲン検査、不整脈があれば心電図検査などを追加で行います。お薬の副作用が出ていないかの判断のため、血液検査を行うこともあります。
ご予約について
ご予約はお電話、またはご来院時に
直接スタッフまでお申し付けください。

循環器外来の診察は、完全予約制です。ご希望の方は、事前にご連絡頂きお申込み下さい。
また、動物の診察ではなく話だけ聞きたいという場合もご相談に応じます。お気軽にスタッフまでお問い合わせ下さい。
ご予約制とはなりますが場合により診察が押してしまうことがあります。お時間に余裕をもってご来院、ご予約をおねがいします。
循環器科症例
犬種:マルチーズ
年齢:8歳
主訴:呼吸があらい
8歳のマルチーズの子が、呼吸が苦しいとのことで来院されました。
身体検査にて心臓の雑音が重度に確認されたのと、呼吸数が1分間に60回と苦しそうな様子でした。
肺の状態を確認するため、胸部レントゲン検査を実施すると、心臓の拡大と肺の不透過性亢進像(白くなること)が確認されました。(図1参照)

図1
次に雑音の原因や心臓の機能を確認するため、心臓の超音波検査を実施しました。
左心房と左心室の間にある僧帽弁から、重度に逆流所見が確認できました。(図2参照)
ワンちゃんで多い僧帽弁閉鎖不全症(弁膜症)であることがわかりました。
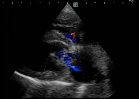
また、心臓の拡大も同時に確認されました。(図3参照)

図2

図3
以上より、僧帽弁閉鎖不全症と心原性肺水腫と診断しました。
呼吸状態が悪く、自宅での管理が難しいため、酸素室で入院しながら治療を行いました。
治療は、利尿剤や強心剤を投与しました。
幸い治療が奏功し、呼吸状態が良くなり、レントゲン検査でも肺の透過性が改善しました。(図4参照)

図4
僧帽弁閉鎖不全症は、状態が落ち着くまではお薬にて治療を行います。
しかし、お薬による治療は進行を抑えることはできますが、病気を治すことはできません。
根治には、手術が必要になります。
この子は、年齢が8歳と比較的若く、他の病気もなかったため、飼い主様が手術を希望されました。
手術は全身麻酔下にて、人工心肺装置を用いながら実施します。(ご興味ある方は診察時に詳しくお話します)
術後は僧帽弁の逆流所見が改善し(図5参照)、徐々に心臓の拡大所見も改善していきました。(図6参照)

図5

図6
レントゲン検査でも肺の状態や大きかった心臓も縮小しています(図7参照)

図7
その後も日に日に元気になり、術後1週間で退院できました。
術後は1ヶ月毎に検診を行います。術後3ヶ月検診まで良好な経過であれば6ヶ月後の検診を行います。
手術前は心臓の薬をたくさん飲んでおりましたが、術後3ヶ月の時点でお薬を飲まない生活に戻れました。
手術は高額であったり麻酔リスクがあったりなどとハードルは高いですが、
経過が良ければ以前のような生活を過ごすことができます。
簡単に心臓外科を実施した子の紹介をさせていただきました。
詳しくお聞きしたい方はお電話や診察の際に教えてください。
ご予約について
ご予約はお電話、またはご来院時に
直接スタッフまでお申し付けください。

循環器外来の診察は、完全予約制です。ご希望の方は、事前にご連絡頂きお申込み下さい。
また、動物の診察ではなく話だけ聞きたいという場合もご相談に応じます。お気軽にスタッフまでお問い合わせ下さい。
ご予約制とはなりますが場合により診察が押してしまうことがあります。お時間に余裕をもってご来院、ご予約をおねがいします。